bootstrap theme

Memiliki Gigi Putih adalah Impian

Semua orang ingin berpenampilan semenarik mungkin, mungkin bagi anda yang bekerja di bidang service atau yang setiap hari harus menemui klien. Pilihan fashion memang menjadi tahap awal untuk tampil menarik tapi ada satu variabel penting yang orang terkadang lupa untuk diberikan perhatian, dan hal itu ialah “penampilan gigi dan mulut”. Menurut sebuah penelitian yang dilakukan di University of Birmingham, “penampilan” dari gigi dan mulut merupakan hal yang paling penting untuk menjaga keberlangsungan hubungan baik itu dalam bisnis ataupun personal.

Penyebab & Perawatan


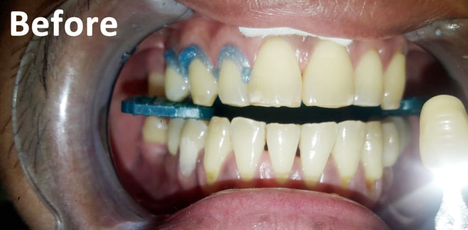
Seiring dengan pola konsumsi kita stiap hari, gigi kita berubah warnai. Kebiasaan kita seperti minum kopi atau teh, merokok, makan makanan fastfood dengan pewarna buatan membuat gigi kita berubah warna menjadi kecoklatan bahwakn kehitaman. Warna ini mengendap di gigi melalui pori kecil yang terdapat di seluruh permukaan gigi.

Mobirise

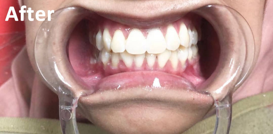
Dental Bleaching merupakan salah satu cara untuk mengembalikan warna gigi asli atau bahkan lebih putih. Prosesmya yaitu bahan dari Dental Bleaching masuk ke dalam pori - pori gigi, kemudian membuat endapan warna yang ada di dalam permukaan gigi ternakgat keluar sehingga warna gigi kembali seperti semula.

Mobirise

Dengan kemajuan teknologi dental bleaching tidak memerlukan lagi bahan yang berbahaya. Semua dilakukan dengan alat yang praktis dan tidak berbahaya. Perawatan ini hanya memerlukan waktu 1 jam.

Biaya nya mahal ya?

Untuk Infinity Bleaching hanya

Rp. 2.850.000

Untuk Authentic Bleaching hanya

Rp. 2.250.000

Hanya Hari Ini

R̶p̶.̶ ̶2̶.̶280.̶0̶0̶0̶
Rp. 1.999.xxx

Infinity Bleaching (Bleaching + Scalling + Protection)

R̶p̶.̶ ̶2̶.̶250.̶0̶0̶0̶
Rp. 1.550.xxx

Authentic Bleaching

Tunggu apa lagi?

Jangan sampai promonya habis...

Authentic Bleaching

  1.550 .XXX
  • Harga Normal ̶2̶.̶2̶5̶0̶.̶0̶0̶0̶

Infinity Bleaching (Bleaching + Scalling + Protection)

  1.999 .XXX
  • Harga Normal ̶2̶.̶8̶5̶0̶.̶0̶0̶0̶

* Promo berlaku khusus di Global Estetik cabang Permata Hijau.

Dapatkan Promo
Super Deal Hari Ini

Saya mau tanya dulu...

Mau tanya atau konsultasi? WA aja!

Promo akan berakhir pada

Bagaimana hasilnya?

Tunggu apa lagi?

Jangan sampai promonya habis...

© Copyright 2022 Global Estetik - All Rights Reserved